




















マイオブレース矯正は歯を動かして歯並びを
良くする矯正治療とは全く違う、
頭の骨の成長の法則を利用して歯並びが乱れる原因を取り除きながら
顔立ちと歯並びを良くする生体の能力を生かした治療法です。
当院では、永久歯が生える前に
歯並びが乱れるサインを
見逃さずお子さまが健やかに
成長できるサポートを行っています。














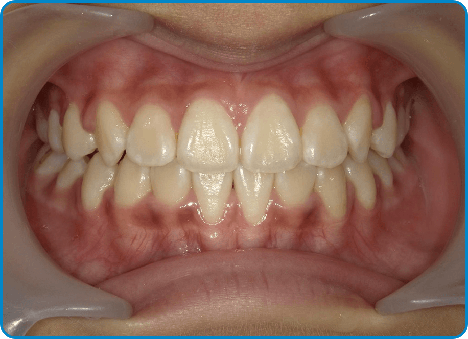
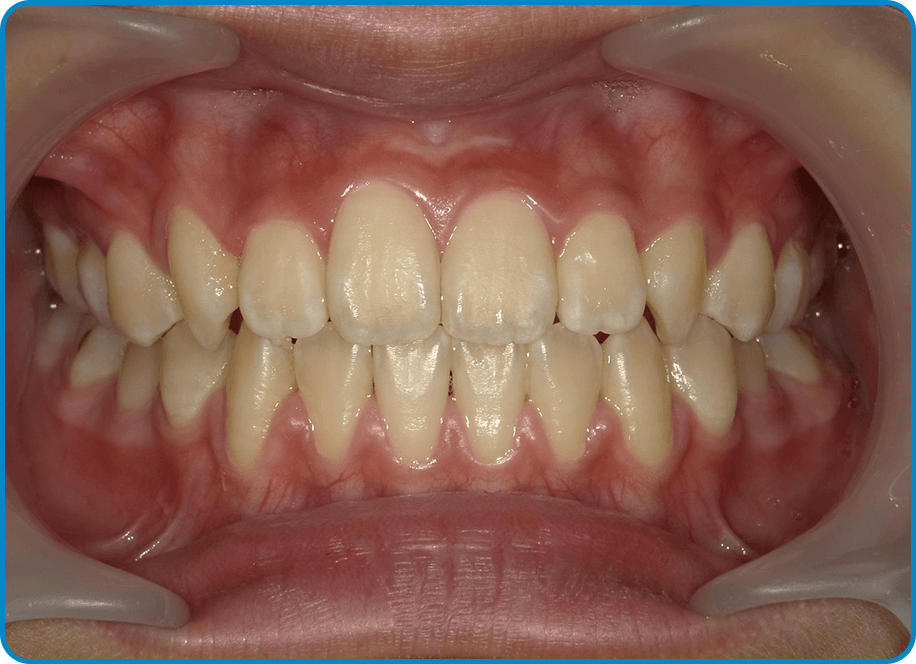
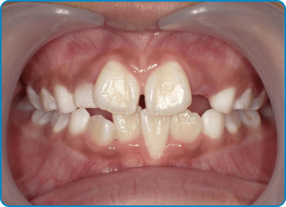
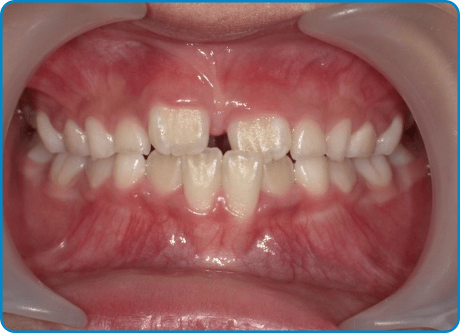
実は、これらの症状は
「歯並びの乱れ」の“根本原因”
と深く結びついています。
単に「歯並びがガタガタしてきた」という
表面的な問題だけではなく、
習慣やクセが複合的に影響しているのです。
このまま放置すると、永久歯が生えそろう頃には
歯並びの乱れが大きくなる可能性が高まります。


















原因からアプローチ
する新しい矯正方法
マイオブレース矯正は、オーストラリア発祥の「悪習癖改善プログラム」と「取り外し可能なマウスピース型装置」を組み合わせた治療法です。歯並びだけを無理やり動かすのではなく、“なぜ歯並びが悪くなるのか”という根本原因に着目し、正しい呼吸や舌の使い方、お口の機能を育てることで、美しい歯並びと顔立ちの形成へ導きます。
ワイヤーやブラケット
を歯に装着しない
従来の矯正に使われる金属ブラケットやワイヤーを固定しないため、食事や歯磨きのときは装置を外せる痛みや装置トラブルが少ない。見た目の負担が少なく、精神的ストレスを減らせるといった特徴があります。
成長期を最大限
活かして治療できる
成長期は顎が発達する最も重要な時期であり、マイオブレース矯正の効果が最大限に得られます。永久歯が生えそろう前に骨の成長を整えることで、自然に歯並びが揃い、抜歯のリスクも低くなるのが特徴です。さらに頭や筋肉のバランスも良くなるため、健康的で明るい顔立ちへとつながります。
他のマウスピース
矯正との違い
インビザラインなどのマウスピース矯正は、主に生え揃った歯を「動かして」歯列を整える方法です。一方、マイオブレース矯正は小児期から成長を活かして「歯がきれいに並ぶ顎」を育てるのが大きな特徴です。適切な時期に始めることで将来的に非抜歯で済む可能性を高めやすく、骨格のバランス改善も期待できるため、歯並びだけでなくお顔立ちや姿勢面にも良い影響を与えます。
マイオブレース矯正の
メリット
MYOBRACE MERIT
見た目の負担が少ない
マウスピース型の矯正装置を就寝時と日中1~2装着するだけなので、見た目も気になりにくいのがポイントです。
後戻りしにくい
筋肉の働きや舌の位置など、歯並びを乱す根本原因を正すため、歯を無理やり動かす矯正よりも後戻りが起こりにくいのが特徴です。
抜歯をほとんどせずに済む
顎の成長を促しながら、自然に歯が並ぶスペースをつくるアプローチを行うため、基本的に抜歯が必要になるケースは少なく抑えられます。
痛みやストレスが少ない
ワイヤーやブラケットを使用しないので、矯正装置が当たって口内炎ができたりするリスクが低いです。また外して歯磨きができるので虫歯のリスクも少ないです。
正しい成長をサポート
口呼吸を鼻呼吸へと改善したり、舌・唇の筋肉バランスを整えたりすることで、歯並びだけでなく、全身の健康や姿勢面にも大きな効果が期待できます。

Q&A
よくあるご質問
5~6歳頃から顎の成長が盛んになり始めるため、この時期からスタートすると効果が高いです。
基本的には、就寝時+日中1時間程度。お子さまの習慣に合わせて無理なく取り組めます。
お口の状態によりますが、毎晩の就寝時と日中1時間の装着、毎日の短時間トレーニング、月1回のアクティビティを続け、習癖が改善すれば約3年で治療が完了します。
聞きましたが、本当ですか?
マイオブレース矯正は、アゴの成長を促し、自然に歯が並ぶスペースを確保するため、抜歯が必要になることはほとんどありません。
また、無理な力で歯を動かさないため、治療後の後戻りリスクも低く抑えられます。
当院が選ばれる理由














歯科医師とエデュケーターという
専任トレーニングコーチが担当します。



豊富な知識と経験に基づき、
お子さま一人ひとりに
最適な治療プランを提案します。
日常で取り組むエクササイズや、
装置のお手入れ方法などを
わかりやすくご説明。
お子さまだけではなく、
保護者の方への
フォロー体制も整えています。


まずは無料相談へ


そんな疑問や不安をお持ちの方は、
ぜひ一度当院の無料相談をご利用ください。
実際にお子さまのお口の状態を拝見し、
最適な治療法や期間・費用について
丁寧にご説明いたします。








お子さまの歯並びは、
将来の健康・自信にも
大きく影響します。
いま気になっている症状は
「歯並びが悪化するサイン」
かもしれません。
マイオブレース矯正で原因から
アプローチして、健やかな成長と
美しい歯列をサポートしませんか?







